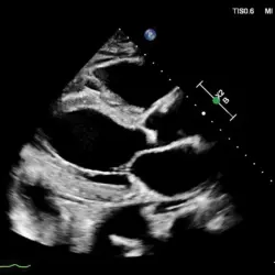
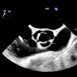
Os transdutores PureWave são projetados para aumentar a penetração em pacientes tecnicamente difíceis através de sua tecnologia de cristais puros PureWave. Com a utilização dos cristais puros, os transdutores PureWave são capazes de trabalhar em uma faixa de frequência maior com mais eficiência energética, desgtastando-se menos enquanto oferece uma imagem muito mais nítida com uma profundidade significativamente maior.
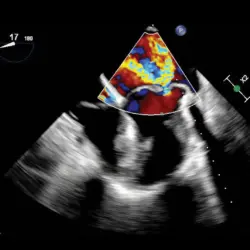
O Affiniti CVx foi desenvolvido sobre a inovadora plataforma de ultrassom cardiovascular Philips CVx e inclui recursos baseados em IA para ajudar você a superar as complexidades atuais e levar a ecocardiografia para a próxima dimensão. O Affiniti CVx oferece recursos inteligentes para permitir que você tenha maior consistência, inovação acessível, fluxos de trabalho mais inteligentes e escalabilidade mais fácil. Tudo isso em uma plataforma familiar e líder no setor para que você possa agir e decidir com a facilidade que conhece e a tradição em que confia.
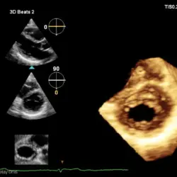
Com a sua última atualização, a VM11, o Affinti CVx é capaz de realizar quantificações 3D com o transdutor matricial transtorácico e realizar inúmeras medidas automáticas auxiliadas por I.A. (Inteligência Artificial), permitindo uma maior reprodutibilidade dos exames e um ganho significativo do tempo do procedimento.































