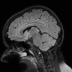
Tenha confiança diagnóstica, explore aplicações avançadas, e gere a produtividade necessária para atender aos desafios atuais do setor de saúde com o Ingenia Omega 1.5T. Através do dStream, a Ingenia gera qualidade de imagem superior com clareza e velocidade digitais – e com o iPatient, ele fornece geração de imagem centrada no paciente, da preparação do paciente ao resultado de imagem.
Ressonância Magnética
Philips Ingenia Omega de 1.5T
Desenvolvido para um fluxo de trabalho com apenas um operador
A Ingenia Ambition foi desenvolvido para tornar mais eficiente o uso do sistema por uma única pessoa. Desde a acomodação do paciente até o momento em que as imagens ficam prontas para análise, o Ingenia Ambition possibilita a realização dos exames com apenas um toque inteligente.
Especificações Técnicas da Ingenia Omega 1.5T
| Gradiente | |
| Amplitude max. para cada eixo | 33 mT/m |
| Slew rate (velocidade de inclinação) max. por eixo | 125 T/m/s |
| Planejamento de local | |
| Peso instalado total de gantry | ≤ 5000 kg |
| Requisito mínimo de localização | 30 m² |
| Patient environment | |
| Abertura do paciente | 70 cm |
| Várias soluções acústicas de redução de ruído | Sim |
| Capacidade máxima de peso | 250 kg (550 lb) |
| ‘Flare’ nas duas pontas | Sim |
| Sistema de transporte do paciente (opcional) | FlexTrak Mammo |
| Diâmetro do túnel nas duas pontas | 95 cm |
| Sincronização fisiológica sem fio do paciente | Sim |
| Fluxo de trabalho dStream (FlexStream) | |
| Sistema de transporte do paciente FlexTrak (opcional) | Sim |
| Solução de mamografia FlexTrak Mammo (opcional) | Sim |
| Bobina posterior FlexCoverage | Sim |
| Armazenamento de bobina FlexCaddy (opcional) | Sim |
| Tampo de mesa FlexTrak | Sim |
| Bobina anterior FlexCoverage (opcional) | Sim |
| Conectores FlexConnect | Sim |
| Recebimento de RF dStream | |
| Cadeia de sinal da bobina ao reconstrutor | Cadeia de sinal da eletrônica da bobina ao conector DigitalCadeia de sinal do conector ao ímã DigitalCadeia de sinal do ímã ao reconstrutor Digital |
| Número de canais receptores independentes | Independente de canal |
| Localização do conversor analógico-digital (ADC) | Por dentro da bobina |
| Sistema de Magneto Xtend | |
| Taxa de evaporação | 0 l/hr |
| FOV (campo de visão) máxima | 55 cm |
| SmartAssist Efficiency Assistance | |
| SmartStart | Sim |
| SmartLink (condicionado a pacote) | Sim |
| SmartSelect | Sim |
| SmartLine (condicionado a pacote) | Sim |
| SmartExam (opcional) | Sim |






























